COVID-19 patients are at a higher risk of stroke. This observation is in apparent contradiction with the reduced number of stroke patient admissions during the first wave of the COVID-19 pandemic, seen worldwide. The SARS-CoV-2 can affect the endothelium, favour a procoagulant state and involves the heart, leading to an increased risk of developing a stroke. The pandemic and confinement influence the behaviour of the population, perhaps more reticent to contact emergency departments flooded with COVID-19 patients and likely to have modified levels of stress. In addition, it was shown that confinement during the pandemic reduced air pollution, thought to affect stroke risk. These indirect effects of SARS-CoV-2 probably also impact the number of hospital admissions for stroke. These different aspects are presented here as a controversy.
Résumé
Les patients souffrant de Covid-19 ont un risque nettement augmenté de développer un AVC. Cette constatation est en apparente contradiction avec la diminution du nombre d’hospitalisations pour AVC observée au niveau mondial depuis le début de la pandémie. L’infection à SARS-CoV-2 peut toucher l’endothélium, favoriser un état procoagulant et affecter le cœur, conduisant à une augmentation du risque d’AVC. Les effets indirects de la pandémie et du confinement sur le comportement de la population, peut-être réticente à consulter les urgences, surchargées par l’afflux de patients Covid-19, sur le stress et sur la pollution atmosphérique influencent probablement aussi le nombre d’hospitalisations pour AVC. Ces différents aspects sont présentés ici sous forme de controverse.
Introduction
Comme pour l’infarctus du myocarde, les données quant à la relation entre la maladie (Covid-19) liée au coronavirus type 2 (SARS-CoV-2) et l’AVC sont contradictoires: tandis que des observations cliniques et pathophysiologiques indiquent une augmentation du risque d’AVC chez des patients avec Covid-19, des données épidémiologiques signalent une apparente réduction du nombre d’AVC pendant la pandémie et les périodes de confinement. Nous essayons ici de présenter des hypothèses pour expliquer ces observations apparemment paradoxales, et de mieux comprendre la relation entre Covid-19 et maladies cérébrovasculaires.
Oui, le covid-19 et l’avc sont associés
Les données épidémiologiques qui indiquent un risque augmenté d’AVC
Les infections en général, et la grippe en particulier, augmentent le risque d’un AVC de l’ordre de 2 à 3 fois.1 Les AVC ischémiques lors d’un Covid-19 sont 2,9 fois plus fréquents (intervalle de confiance à 95 %: 1,86-4,47) que ceux survenant lors d’une grippe saisonnière.2 À noter que le nombre de patients dans cette étude est relativement petit et qu’elle devrait donc être confirmée dans d’autres populations.
Pendant le premier confinement, on a aussi constaté aux États-Unis une surmortalité de 8 % due aux AVC.3 Une partie de cet excès de mortalité pourrait être liée à des AVC causés par le Covid-19, et l’autre par les dégâts collatéraux du confinement (cf. discussion en bas).
Pour des patients hospitalisés avec un Covid-19, le risque global d’avoir un AVC est d’environ 1,5 %.4 Il est inconnu chez les non-hospitalisés, mais certainement plus bas. Le risque augmenté d’AVC semble aussi concerner les AVC hémorragiques qui peuvent prendre plusieurs formes: microhémorragies profondes ou superficielles, macrohémorragies, et hémorragies sous-arachnoïdiennes.5,6 Une bonne partie de ces hémorragies est probablement iatrogène, déclenchées par une anticoagulation instaurée pour des raisons prophylactiques et thérapeutiques pendant le traitement du Covid-19,6 tel que pour l’oxygénation membranaire extracorporelle (ECMO).7 L’incidence de thromboses sino-veineuses cérébrales (TSVC) semble aussi être augmentée lors d’un Covid-19 même si les rapports publiés sont encore sporadiques.8
Qui est à risque élevé d’un AVC lors d’un Covid-19 ?
Le profil des patients avec AVC lors d’un Covid-19 ressemble pour la plupart à celui des patients AVC sans Covid-19. Ce sont donc les personnes plutôt âgées avec plusieurs facteurs de risque cérébrovasculaire qui sont particulièrement vulnérables, y compris celles qui ont un antécédent d’AVC.9,10 Chez ces patients, le Covid-19 semble être un facteur déclenchant plutôt que causal de l’AVC. Par ailleurs, chez certains jeunes patients qui n’ont pas ce profil vasculaire, le Covid-19 semble être la seule raison de l’AVC.11 Aussi, un Covid-19 sévère semble augmenter particulièrement le risque cérébrovasculaire.4,9
Par quel mécanisme le Covid-19 augmente-t-il le risque d’AVC ?
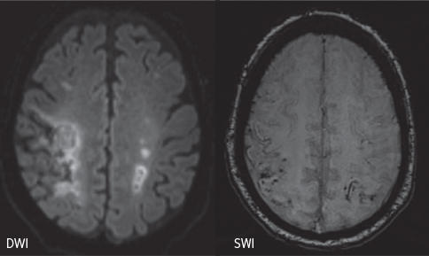
Les mécanismes de l’AVC ischémique et de la TSVC en cas de Covid-19 semblent multiples et ne sont pas tous élucidés. Comme lors de tout état infectieux, un état prothrombotique peut survenir en raison de la déshydratation, de l’inflammation avec augmentation des cytokines et activation de la coagulation.9,12 Lors d’un Covid-19 sévère, un nombre important de patients semble développer des anticorps antiphospholipides,13,14 déclenchant des micro- et macrothromboses dans plusieurs organes. En outre, une endothéliopathie liée à un tropisme du SARS-CoV-2 pour les cellules endothéliales qui expriment fortement le récepteur du virus ECA2 peut causer des thromboses (ischémies) et des hémorragies dans les petits et grands vaisseaux dans le cerveau et ailleurs,5,15 comme chez le patient sur la figure 1. Finalement, il peut y avoir une cardiopathie liée au virus sous différentes formes. On peut constater une élévation des enzymes cardiaques, une infiltration lymphocytaire, une prise de contraste de plusieurs structures cardiaques, ou encore un épanchement péricardique.
Le fait que la sévérité du Covid-19 semble corrélée à celle du dégât cérébrovasculaire est un argument supplémentaire pour un lien causal entre les deux maladies.16
Les statistiques montrant une réduction des admissions pour AVC ne reflètent peut-être pas le vrai taux d’AVC
La plupart des publications à ce jour montrent une diminution du taux d’hospitalisations pour AVC pendant les pics de la pandémie,17,18 comme illustré dans la figure 2. Il y a quelques hypothèses discutées ci-dessous qui pourraient expliquer une telle réduction. Il est par contre aussi possible que ces chiffres d’admissions hospitalières ne représentent pas le vrai taux des AVC dans la population, car:
- L’isolement pendant les confinements diminue les contacts humains, et ainsi, des AVC mineurs ou avec anosognosie ne sont pas reconnus par les proches comme d’habitude.
- Lors du confinement, l’appel à la population de rester à domicile a peut-être incité des patients avec accident ischémique transitoire (AIT) ou AVC mineurs à rester chez eux.
- Les patients ne voulaient pas surcharger les urgences et institutions médicales, soit par respect pour les patients Covid et les soignants, soit par peur d’une infection Covid nosocomiale.
- Les services de santé étaient moins disponibles pour recevoir des patients en raison de la fermeture de certaines permanences médicales et instituts de radiologie, ou d’une surcharge des urgences.
Ce sont les mêmes raisons qui pourraient expliquer la réduction du nombre d’admissions pour infarctus du myocarde, qui a pourtant été accompagnée par une augmentation des arrêts cardiaques hors hôpital.19
Par quel mécanisme la pandémie augmente-t-elle le risque d’AVC chez les patients sans Covid-19 ?
Pour l’AVC, la conséquence d’un manque de prise en charge professionnelle des AIT et AVC, ainsi que d’une diminution des efforts préventifs en cabinet médical, pourrait être une augmentation des récidives à moyen et long termes. Dans une étude américaine portant sur le premier confinement, la surmortalité liée aux AVC a atteint 8 %.3
De plus, les effets collatéraux de la pandémie et du confinement incluent une augmentation du poids, une réduction de l’activité physique et de la qualité du sommeil,20 ainsi qu’une augmentation de la consommation d’alcool.21 La pandémie a aussi augmenté le niveau d’anxiété et de dépression.22 Finalement, l’isolement social et la solitude sont associés à l’AVC;23 tous ces éléments sont donc des facteurs de risque cérébrovasculaire. Les arguments en faveur et défaveur d’un effet favorisant du Covid-19 et du confinement sur l’incidence d’AVC sont résumés dans le tableau 1.
Non, le covid-19 n’est pas associé à une augmentation des avc
Les données observationnelles montrent une réduction inattendue des admissions pour AVC
Comme discuté ci-dessus, le Covid-19 est connu pour provoquer une lésion endothéliale qui augmente le risque thrombotique, y compris celui d’un AVC ischémique. Parmi les patients hospitalisés pour un Covid-19, l’incidence de l’AVC ischémique a été estimée à environ 1,5 %.4 Étant donné que le Covid-19 est devenu une pandémie mondiale, touchant des millions de personnes, on s’attendrait donc à une légère augmentation du risque d’AVC ischémiques pendant la période pandémique. Néanmoins, plusieurs rapports provenant des Stroke Units et Stroke Centers du monde entier ont signalé une diminution inattendue des admissions pour AVC au cours de la première vague de Covid-19, soit entre février et juin 2020. Mis à part certaines observations extrêmes, avec réduction jusqu’à 80 % des admissions pour AVC dans une ville du nord de l’Italie,24 d’autres observations à plus large échelle ont montré une réduction de l’ordre de 20 % en Chine et 10 % au niveau mondial.18,25 Parallèlement une réduction similaire des thrombolyses intraveineuses et des thrombectomies a été observée au cours de la même période dans plusieurs pays d’Europe, en Chine, aux États-Unis et dans le reste du monde.18,25,26
Les caractéristiques des patients admis pour AVC suggèrent une réelle réduction de leur taux
Certaines hypothèses expliquant ces observations surprenantes ont déjà été discutées plus haut dans le paragraphe intitulé « Les statistiques montrant une réduction des admissions pour AVC ne reflètent peut-être pas le vrai taux d’AVC »: en résumé, selon ces suppositions les patients avec AVC:
- • Ne sont pas correctement diagnostiqués par les médecins (symptômes neurologiques masqués par d’autres problèmes, notamment respiratoires au premier plan).
- • Ne consultent pas aux urgences (par peur d’être infectés par le SARS-CoV-2).
- • Ne sont pas reconnus par les proches (isolement social, surtout chez les personnes très âgées).
- • Ne sont pas adressés au bon hôpital (surcharge du système préhospitalier).
Il faut noter que tous ces scénarios s’appliquent en premier lieu aux cas d’AIT ou d’AVC mineur, avec déficits neurologiques passagers ou mineurs, et moins aux AVC avec symptômes neurologiques très graves (par exemple aphasie sévère, parésie grave). Ainsi, si cette hypothèse expliquait une partie ou la totalité de la réduction des admissions pour AVC, on s’attendrait à une réduction touchant surtout les AVC mineurs et les AIT et en conséquence une relative augmentation des AVC plus sévères. Cela entraînerait donc une augmentation de la sévérité des AVC ischémiques et par la proportion d’occlusion artérielle intracrânienne proximale (LVO) chez les AVC hospitalisés.
Cependant, cela ne correspond pas aux observations de différentes études, qui n’ont rapporté qu’une minime augmentation (+1 point), voire une réduction (-3 points) du score NIHSS médian ainsi qu’une proportion stable de patients avec occlusion intracrânienne proximale.26,27
Comment pourrait-on expliquer une telle réduction du taux d’AVC ?
Il faut donc envisager la possibilité d’une réelle diminution de l’incidence des AVC pendant le confinement lors de la première vague de la pandémie de Covid-19. En fait, cette pandémie et les mesures prises pour la contenir ont eu des effets directs et indirects à plusieurs niveaux tant à l’échelle individuelle, comme discuté dans le paragraphe intitulé « Par quel mécanisme la pandémie augmente-t-elle le risque d’AVC chez les patients sans Covid-19 ? », qu’à l’échelle globale. Parmi ces conséquences il y en a certaines qui pourraient expliquer une réduction de l’incidence des AVC.
Un premier facteur qui s’est modifié avec la pandémie et le confinement qui s’en est suivi est une diminution de la pollution de l’air, jusqu’à -30 % de polluants comme le NO₂ dans plusieurs régions d’Europe, d’Amérique et d’Asie.28 Il faut souligner que la pollution de l’air est un facteur de risque important d’AVC, malheureusement souvent sous-estimé: des études observationnelles ont pu mettre en évidence que les pics de pollution atmosphérique gazeux et particulaires sont étroitement associés avec les admissions à l’hôpital pour AVC et avec la mortalité due à celui-ci. Par exemple, il a été estimé que pour chaque augmentation de 10 parties par milliard de NO₂, le risque d’AVC, le jour même, augmente de 1,4 % (IC 95 %: 0,9-1,9 %).29 Une association a également été démontrée entre l’exposition à long terme à de hautes concentrations de polluants dans l’air et la fréquence des AVC.30
Un autre facteur qui s’est clairement modifié avec la pandémie de Covid-19 et le confinement instauré dans différents pays est le niveau de stress. Si d’un côté cette situation exceptionnelle a clairement augmenté le niveau de stress chez certains groupes (par exemple le personnel sanitaire surchargé et épuisé), de par l’inquiétude face à l’évolution de la pandémie et à la situation économique globale, d’un autre côté, d’autres personnes ont été forcées de modifier drastiquement leur organisation, souvent avec des effets positifs sur la qualité de vie, notamment avec une révision des priorités, plus d’attention au style de vie et à sa propre santé et un meilleur équilibre entre vie privée et professionnelle. Cette hypothèse d’une réduction nette du stress dans la population a également été évoquée pour expliquer un autre phénomène particulier observé pendant la pandémie, à savoir la réduction du nombre d’enfants prématurés et de faible poids à la naissance, ce qui peut être un autre signe de réduction du stress dans la population. Actuellement il n’y a pas de données certaines en faveur d’une réelle réduction du stress pendant la pandémie, toutefois une relation entre le stress, la charge de travail et le risque d’AVC a été clairement démontrée.31,32 Il faut souligner cependant que ces données préliminaires ne concernent que la première vague. L’épuisement et le ras-le-bol croissants de la population, en particulier depuis fin 2020, pourraient bien modifier les données relatives au stress.
Enfin, pendant la pandémie de Covid-19, une réduction d’autres infections virales a été observée, notamment concernant la grippe saisonnière qui est connue pour être associée à une augmentation modérée du risque d’AVC.
Comment prévenir les avc et atténuer leurs conséquences pendant la pandémie de sars-cov-2 ?
Premièrement, une réduction ou une élimination des nouvelles infections par le SARS-CoV-2 grâce au maintien des gestes barrières et aussi à une vaccination à large échelle pourrait conduire à une diminution des cas de Covid-19 et par conséquent aussi d’AVC. Deuxièmement, les signes d’appel d’un AVC doivent être rappelés régulièrement à la population, avec instruction d’appeler immédiatement le numéro d’urgences médicales 144 en Suisse. Troisièmement, le maintien du système des filières thrombolyse et thrombectomie pour l’AVC est primordial pour un traitement efficace des AVC, qu’ils soient liés au Covid-19 ou non. Et dernièrement, les unités cérébrovasculaires doivent rester ouvertes en permanence pour une prise en charge et une prévention secondaire efficaces des AVC.
Conclusion
Le risque d’AVC chez les patients avec infection à SARS-CoV-2 est probablement augmenté chez ceux avec Covid-19 en raison d’un état prothrombotique, d’une endothéliopathie et d’une cardiopathie.
Malgré cela, une réduction des admissions hospitalières pour AVC a été observée pendant la pandémie et les confinements. Cela pourrait être le résultat d’AVC méconnus pendant l’isolement à domicile, et de l’hésitation à consulter les urgences. Une vraie réduction de l’incidence des AVC dans la population est néanmoins possible. Dans ce cas, les hypothèses seraient une réduction de la pollution de l’air, peutêtre du stress quotidien et d’autres infections.
Pour limiter l’impact direct et collatéral de cette pandémie sur les maladies cérébrovasculaires, des mesures sociétales, individuelles (gestes barrières), et la vaccination constituent les meilleurs espoirs.
Conflit d’intérêts:
Les auteurs n’ont déclaré aucun conflit d’intérêts en relation avec cet article.
Implications pratiques
• Chez un patient avec Covid-19, en particulier en cas d’atteinte sévère, le risque pour toutes les formes d’AVC semble augmenté en raison d’un état prothrombotique, d’une endothéliopathie et d’une cardiopathie Covid-19
• Une réduction des admissions pour AVC pendant le confinement pourrait être un phénomène artificiel (sous-estimation des AVC dans la population car les patients ne consultent pas, ne reconnaissent pas les symptômes dans l’isolation à domicile, etc.), ou un effet réel (par réduction d’autres infections; amélioration de la qualité d’air, etc.)
• La pandémie risque d’interférer substantiellement avec la prévention secondaire après AVC, ce qui pourrait mener à une augmentation des AVC à moyen terme







