Sommaire du numéro
ISO 690 Egger, B., Aubert, J., Emphysème pulmonaire : mécanismes et nouvelles perspectives thérapeutiques, Rev Med Suisse, 2005/041 (Vol.1), p. 2665–2672. DOI: 10.53738/REVMED.2005.1.41.2665 URL: https://www.revmed.ch/revue-medicale-suisse/2005/revue-medicale-suisse-41/emphyseme-pulmonaire-mecanismes-et-nouvelles-perspectives-therapeutiques
MLA Egger, B., et al. Emphysème pulmonaire : mécanismes et nouvelles perspectives thérapeutiques, Rev Med Suisse, Vol. 1, no. 041, 2005, pp. 2665–2672.
APA Egger, B., Aubert, J. (2005), Emphysème pulmonaire : mécanismes et nouvelles perspectives thérapeutiques, Rev Med Suisse, 1, no. 041, 2665–2672. https://doi.org/10.53738/REVMED.2005.1.41.2665
NLM Egger, B., et al.Emphysème pulmonaire : mécanismes et nouvelles perspectives thérapeutiques. Rev Med Suisse. 2005; 1 (041): 2665–2672.
DOI https://doi.org/10.53738/REVMED.2005.1.41.2665
Exporter la citation Zotero (.ris) EndNote (.enw)
ARTICLES THÉMATIQUES : PNEUMOLOGIE
16 novembre 2005

Emphysème pulmonaire : mécanismes et nouvelles perspectives thérapeutiques

DOI: 10.53738/REVMED.2005.1.41.2665

Emphysema is one of the components of chronic obstructive pulmonary disease beside the bronchial, vascular and systemic parts. The pathogenesis involves an inflammatory process (macrophages, neutrophiles and lymphocytes), but also an imbalance between proteases-anti-proteases and the oxidative stress by the formation of oxygen radicals. On the therapeutic level, these physiopathological pathways are the rational basis to the progressive use of antioxidants (mainly N-acetylcysteine) or, for the moment at an experimental level, of anti-proteases (inhibitors of serine proteases, cysteine proteases and the matrix metalloproteases). To reach the secondary lobule, site of the emphysema, the inhaled future treatments will have to be constituted of small particles, as in cigarette smoke, in order to distribute into the most homogeneous way the affected lung.

Résumé

L’emphysème est une des composantes de la bronchopneumopathie chronique obstructive à côté de l’atteinte bronchique, vasculaire et systémique. La pathogenèse fait intervenir un processus inflammatoire (macrophages, neutrophiles et lymphocytes), mais également un déséquilibre entre les protéasesantiprotéases et le stress oxydatif (formation de radicaux libres). Sur le plan thérapeutique ces voies physiopathologiques conduisent à la recherche et à l’utilisation progressive d’antioxydants ou, au stade expérimental, d’antiprotéases (inhibiteurs des sérine-protéases, cystéine-protéases et métalloprotéinases). Pour atteindre le lobule secondaire, site de l’emphysème, les traitements futurs inhalés devront comporter des particules de diamètre comparable à celles de la fumée du tabac et se distribuer de façon homogène dans le poumon affecté.

INTRODUCTION

La bronchopneumopathie obstructive chronique (BPCO) est la quatrième cause de décès au niveau mondial et dans les années 90 avait une prévalence dans la population occidentale de plus de 9/1000 hommes et 7/1000 femmes.1 Elle se définit cliniquement par une obstruction ventilatoire sans réversibilité complète, progressive et est significativement corrélée à une exposition chronique à des particules nocives ou des gaz, tout particulièrement la fumée.1 Cette obstruction résulte d’une altération des petites voies aériennes et d’une destruction du parenchyme pulmonaire. Le diagnostic doit être suspecté en présence d’une toux expectorante et/ou d’une dyspnée et/ou d’une notion d’exposition à des facteurs de risque (tableau 1).2 La spirométrie permet de poser le diagnostic et de classer la sévérité de l’atteinte respiratoire selon une échelle résultant d’un consensus international (tableau 2).2

Tableau 1.

Facteurs de risque du développement d’une BPCO12

Tableau 2.

Classes spirométriques de la BPCO 2

Ce syndrome est composé de cinq entités pathologiques distinctes à savoir : 1) la bronchite chronique; 2) la bronchiolite obstructive; 3) l’emphysème; 4) l’atteinte vasculaire pulmonaire et 5) l’atteinte systémique (cf. l’article de M. Coronado dans ce journal). Ces pathologies se retrouvent en proportion variable selon les individus. L’emphysème est la conséquence d’une destruction du parenchyme pulmonaire. Il se définit comme un élargissement irréversible des voies aériennes en aval des bronchioles terminales entraînant une destruction des bronchioles respiratoires et parfois des parois alvéolaires.3 Il peut être suspecté cliniquement sur la base de l’exploration fonctionnelle et l’imagerie, en particulier le CTscan thoracique. Le diagnostic formel cependant est du ressort du pathologiste.

MÉCANISMES PATHOLOGIQUES DE L’EMPHYSÈME

Types d’emphysèmes

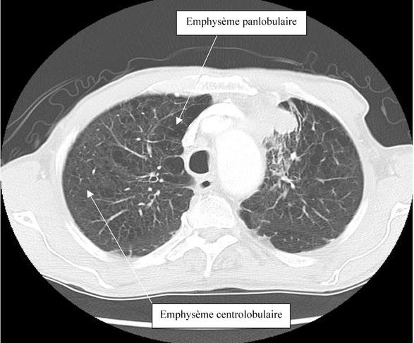
Trois types d’emphysèmes sont anatomiquement reconnus : 1) centrolobulaire ; 2) paraseptal et 3) panlobulaire. L’emphysème centrolobulaire est le plus fréquemment retrouvé, plus souvent dans les parties supérieures des poumons, et correspond à la destruction des bronchioles respiratoires et des canaux alvéolaires proximaux (figure 1). Il est souvent associé à une altération fonctionnelle plus marquée que la forme paraseptale (figure 2). Cette dernière affecte classiquement la périphérie des acini, s’observe donc plus volontiers en localisation sous-pleurale et est habituellement focale. L’emphysème panlobulaire (ou panacinaire) est retrouvé classiquement dans le déficit en α1-antitrypsine mais aussi dans des cas sévères sans anomalie génétique identifiable. Le lobule est diffusément affecté et l’atteinte est typiquement plus marquée au niveau des lobes inférieurs.3

Figure 1.

Emphysème

Figure 2.

Emphysème panlobulaire et centrolobulaire

Pathogenèse

Au sein d’une population tabagique, seuls 15-20% sont victimes d’une atteinte emphysémateuse clinique.2 Pour expliquer cette susceptibilité variable on postule des facteurs génétiques ainsi que des facteurs environnementaux, comme la survenue d’infections virales en bas âge. L’atteinte histologique est la résultante de trois mécanismes physiopathologiques principaux: le premier est une inflammation chronique générée par des cellules circulantes et plus particulièrement par les monocytes/macrophages (CD68+), les neutrophiles et les lymphocytes T, principalement de type CD8.4,5 Ces cellules vont agir sur les cellules résidentes telles que les cellules épithéliales et les fibroblastes via des médiateurs (leucotriène B4 (LTB4), interleukine 8 (IL-8), tumor necrosis factor α (TNF-α)). Le second mécanisme implique un déséquilibre entre les protéases et antiprotéases pulmonaires en faveur des premières dont l’origine peut être génétique ou la conséquence de l’activité inflammatoire. Le troisième mécanisme, induit aussi par le processus inflammatoire, est l’action toxique du stress oxydatif.1,6 A cela s’ajoute le rôle délétère des forces mécaniques qui veut que plus le nombre des fibres alvéolaires rompues est grand plus les autres ont tendance à se rompre en raison d’une traction augmentée.7 Cependant il ne s’agit pas d’un facteur causal mais uniquement d’un phénomène aggravant de l’emphysème.

JE M'ABONNE DÈS AUJOURD'HUI

et j'accède à plus de contenu

Abonnement

100%

Numérique à partir de

CHF 170.-

(pour les médecins)

Abonnement

100%

Numérique à partir de

EUR 150.-

(pour les médecins)

Inflammation

L’inflammation retrouvée dans la BPCO est différente de celle observée dans l’asthme. Elle atteint géographiquement surtout les voies aériennes périphériques (bronchioles) et le parenchyme pulmonaire conduisant à la fibrose des petites voies aériennes ainsi qu’à la destruction du lobule secondaire.8 Les cellules retrouvées sont les suivantes :8,9

  1. Neutrophiles : ils sont, après une transition rapide à travers la paroi alvéolaire et bronchiolaire, en quantité augmentée dans la lumière des voies respiratoires des patients BPCO. Ils ne sont, de ce fait, retrouvés qu’en quantité modérée dans le tissu pulmonaire. Produits par les macrophages, les lymphocytes, les cellules endothéliales et les neutrophiles eux-mêmes, des facteurs chémotactiques favorisent le transport entre le sang et la lumière de ce type de granulocytes. Ces cellules sécrètent plusieurs types de sérine-protéases (élastase, cathepsine G, protéinase-3) contribuant à la destruction du parenchyme pulmonaire et stimulant la sécrétion de mucus dans la lumière bronchique. Il existe une corrélation positive entre le nombre de neutrophiles d’une part et la sévérité de l’obstruction ventilatoire, le déclin fonctionnel et l’hypersécrétion bronchique d’autre part.

  2. Macrophages: ils jouent un rôle de pivot dans le processus inflammatoire et peuvent être augmentés jusqu’à vingt-cinq fois dans les voies respiratoires des patients BPCO. On les retrouve volontiers au voisinage de la paroi alvéolaire détruite et leur nombre est corrélé à la sévérité de l’atteinte respiratoire. Le nombre augmenté des macrophages dans la BPCO est certainement en lien avec une majoration du recrutement des monocytes, mais également la résultante d’une prolifération in situ plus marquée et une survie prolongée. Les macrophages activent les lymphocytes CD8, via les chémokines IP-10 et I-Tac, exercent une activité élastolytique par production de métalloprotéinases de la matrice, et sécrètent plusieurs médiateurs inflammatoires peptidiques (IL-8) ou lipidiques (LT B4) stimulant les neutrophiles (figure 3).

  3. Lymphocytes T : ils sont en nombre augmenté dans les voies respiratoires terminales des patients emphysémateux. La population CD8, cytotoxique, est particulièrement élevée alors que les CD4 le sont de façon moins marquée. Il est vraisemblable que les lymphocytes CD8 sont attirés dans les tissus pulmonaires par des chémokines produites par les macrophages, voire par les cellules épithéliales. Comme pour les neutrophiles et les macrophages, le taux des CD8 est corrélé à la sévérité du syndrome obstructif mais aussi à la sévérité de l’emphysème tel qu’évalué par morphométrie. Leur effet cytolytique et pro-apoptotique sur les cellules épithéliales alvéolaires serait dû au relargage de perforine, granzyme-B et des molécules de la famille du TNF-α.

  4. Eosinophiles : contrairement à l’asthme ils ne sont retrouvés que lors des phases d’exacerbation de la BPCO et sous forme dégranulée, comme le témoigne la présence de protéines cationiques et peroxydases éosinophiliques dans les expectorations. En phases stables la présence d’éosinophiles prédit une réponse aux corticoïdes et signale une composante asthmatique.

  5. Cellules dendritiques : elles sont situées à proximité de la surface épithéliale, et sont en nombre augmenté chez les fumeurs. Les cellules dendritiques sont présentatrices d’antigène et sont capables d’activer la plupart des cellules inflammatoires. L’histiocytose X est une maladie pulmonaire survenant exclusivement chez le fumeur, caractérisée par une prolifération granulomateuse de cellules dendritiques et accompagnée d’une destruction du parenchyme pulmonaire qui ressemble à l’emphysème.

  6. Cellules épithéliales : elles sont connues pour leur activité de transport des IgA. Ces cellules sont également une source importante de médiateurs inflammatoires (TNF-α, IL-1β, GM-CSF, IL-8, TGF-β) et protéases. Via l’expression des défensines et des antiprotéases, elles participent à la défense des voies aériennes et à une activité anti-oxydante.

Figure 3.

Mécanismes de destruction du parenchyme par les macrophages et les cellules dendritiques 9

Protéases et antiprotéases

Le déséquilibre entre les protéases et les antiprotéases fut évoqué comme étiologie possible de l’emphysème suite à la mise en évidence, dans les années 60, d’une relation possible entre l’α1-antitrypsine et cette pathologie respiratoire. Deux mécanismes sont postulés :

  1. L’augmentation des protéases : l’inflammation stimule le relargage de protéases par les macrophages, neutrophiles et cellules épithéliales.

    Les neutrophiles produisent les sérine-protéases décrites ci-dessus. Ces protéases vont, d’une part, dégrader l’élastine et le collagène, deux éléments importants dans la composition de la paroi alvéolaire, et, d’autre part, provoquer une hyperplasie des glandes avec majoration de la production de mucus. L’élastase va également favoriser la production de radicaux libres par certaines cellules épithéliales, augmenter l’expression de certaines cytokines (IL-8) et diminuer la clairance des cellules apoptotiques par les macrophages.9,10

    Les macrophages, quant à eux, vont produire des cystéine-protéases telles que les cathepsines B, K, L, S et différentes métalloprotéinases de la matrice (MMP) dont l’élastase macrophagique (MMP-12) et la gélatinase B (MMP-9). Le rôle respectif des cathepsines est encore peu clair dans l’emphysème mais une activité élastolytique a clairement été démontrée. Quant aux métalloprotéinases de la matrice, leur expression aberrante amène la destruction de divers tissus (action sur l’élastine) notamment pulmonaire.11

  2. La diminution des antiprotéases : le stress oxydatif, via l’inflammation, l’infection ou le tabagisme, va diminuer la production et l’activité biologique des antiprotéinases. Parmi ce groupe se trouvent essentiellement les inhibiteurs des sérine-protéases (α1-antitrypsine, inhibiteur de la sécrétion de la leucoprotéinase (SLPI)) et des inhibiteurs tissulaires des métalloprotéinases (TIMP).

    Modèle du déficit en α1-antitrypsine : plusieurs variantes de ce déficit sont actuellement identifiées et amènent une diminution du taux circulant d’α1-antitrypsine, par diminution de synthèse hépatocytaire.9,12 La forme la plus sévère et la mieux décrite est le type Pi*ZZ (remplacement de l’acide aminé Gly par Lys en position 342). La prévalence de l’atteinte sévère est environ 1/3000 naissances dont 95% sont dus au génotype Pi*ZZ. La mutation la plus fréquente est la mutation S (remplacement de l’acide aminé Gly par Val en position 264) responsable, si l’atteinte est homozygote, d’une réduction du taux circulant d’α1-antitrypsine de 40% (85% pour le pattern Pi*ZZ).13 Récemment Dahl a également démontré une augmentation du risque de BPCO, d’un facteur 3, dans la forme hétérozygote Pi*SZ.14 La diminution du taux de cet inhibiteur des protéases, essentiellement par blocage de la sécrétion, va favoriser le déséquilibre protéases-antiprotéases. La consommation tabagique aidant,15 les patients, atteints de la forme sévère, présenteront déjà un emphysème clinique à l’âge de 30-40 ans.

Stress oxydatif

Le stress oxydatif se manifeste par un déséquilibre entre les radicaux libres (éléments oxydants) et les molécules antioxydantes.6,9

L’anion superoxyde (O2. –) va être à la base des autres radicaux oxydants via la superoxyde dismutase (résultant = H2O2), le fer (Fe++) (résultant =.OH), ou la myéloperoxydase neutrophilique (MPO) (résultant = HOCl) (figure 4). Une concentration augmentée en fer aura pour effet de favoriser l’oxydation. Le fer est retrouvé en quantité élevée dans les macrophages alvéolaires des patients fumeurs ainsi que dans le liquide alvéolaire, surtout dans les lobes supérieurs. Chaque cigarette amène 0,042 µg de fer. L’âge joue aussi un rôle dans les stocks de fer avec une augmentation nette dès l’âge de 20 ans chez l’homme et dès la ménopause chez la femme. Habituellement le rôle oxydant du fer est jugulé par ses affinités avec différentes protéines de transport ou de stockage (ferritine, transferrine, hepcidine) mais le tabagisme et la formation d’oxydants favorisent le relargage du fer par ces molécules.

Figure 4.

Bases chimiques de la formation des radicaux libres et anti-oxydants 6

Des auteurs ont démontré le rôle de molécules endogènes (notamment certains facteurs de croissance de l’endothélium vasculaire) dans la genèse du stress oxydatif et la survenue d’un emphysème,16 mais les sources habituelles des oxydants, outre la cigarette, sont l’inflammation et l’infection.

Le stress oxydatif est responsable de plusieurs effets néfastes dans le poumon (figure 5) :

  1. Action directe sur le poumon : altération de l’ADN (mutation des gènes p53 et K-ras notamment), des lipides et protéines (responsable d’apoptose de l’épithélium alvéolaire

    • – emphysème), production de mucus par les cellules épithéliales et dysfonction ciliaire avec risques infectieux augmentés. Les radicaux libres augmentent également la perméabilité épithéliale, réduisent l’activité du surfactant et sont toxiques pour les fibroblastes amenant une altération de la mécanique pulmonaire ou du mécanisme de réparation intrapulmonaire.

  2. Augmentation de la concentration et de la toxicité de l’élastase : le stress oxydatif va inhiber l’activité de l’α1-antitrypsine et de la SLPI mais activer les métalloprotéinases de la matrice. L’activité accrue de l’élastase aura pour effet d’amplifier l’inflammation via le facteur nucléaire NF-κB, de dégrader l’élastine (et de ce fait les parois alvéolaires), d’altérer le processus de réparation intrapulmonaire (activation de cytokines et facteurs de croissance) et de produire des anomalies du surfactant.

  3. Résistance aux corticoïdes : le stress oxydatif va altérer la translocation jusqu’au noyau des récepteurs aux corticoïdes, ainsi que leur lien avec l’ADN, et va réduire l’activité de l’histone déacétylase 2. Cette action conjuguée est responsable d’une résistance au traitement stéroïdien

Figure 5.

Mécanisme du stress oxydatif dans le tabagisme 6

Sur le versant anti-oxydant, deux systèmes coexistent :

  1. Système enzymatique : les principaux sont la superoxyde dismutase (SOD), le glutathion (GSH) et la catalase (figure 6).

  2. Système non enzymatique : les vitamines E et C, le β-carotène, l’acide urique et la bilirubine font partie des agents anti-oxydants non enzymatiques.

La réserve anti-oxydante est variable chez les patients atteints de BPCO avec des situations de déficit ou au contraire de synthèse augmentée.

NOUVELLES CIBLES THÉRAPEUTIQUES DANS L’EMPHYSÈME

Le traitement actuellement reconnu de l’emphysème consiste en un pôle médicamenteux (bronchodilatateurs, corticoïdes topiques et systémiques, théophylline), ventilatoire (ventilation non invasive et oxygénothérapie) et parfois chirurgical sous la forme de réduction de volume (tableau 3)17,18 ou de greffe pulmonaire uniou bilatérale pour une minorité de cas très sélectionnés (tableau 4).19,20 La réduction de volume par voie endoscopique, à l’aide de valve antireflux est au stade de l’évaluation clinique.

Tableau 3.

Critères opératoires pour une chirurgie de réduction de volume 17,18

Tableau 4.

Critères de transplantation pulmonaire 19,20

L’évaluation de l’efficacité de nouveaux traitements est particulièrement laborieuse pour deux raisons principales : 1) au vu de l’évolution très lente de la maladie emphysémateuse chez l’homme, il faut des périodes d’observations excessivement longues, d’un à trois ans, pour détecter une différence entre le groupe traité et le groupe contrôle. Cependant les progrès du scanner en haute résolution font que cette technique est maintenant plus sensible que l’exploration fonctionnelle et permet donc de raccourcir ce délai ; 2) plusieurs modèles animaux ont été établis, surtout chez le rongeur. L’emphysème est obtenu soit «naturellement» par exposition à la fumée de cigarette, soit de manière plus rapide, par exemple par instillation d’élastase dans les voies aériennes. Il est clair que ce dernier modèle ne reproduit pas toute la complexité de l’inflammation décrite chez l’homme. Par ailleurs il est également connu que les mécanismes de réparation des tissus pulmonaires des rongeurs peuvent différer significativement de ceux de l’homme. Pour toutes ces raisons le délai entre les premières données expérimentales et la mise sur le marché de nouveaux traitements pour l’emphysème est passablement long.

Les nouvelles options thérapeutiques concernent soit des nouvelles molécules, des nouveaux modes d’administration ou des nouveaux traitements non médicamenteux tels que la réduction de volume par voie endoscopique. Nous nous focaliserons sur trois nouvelles classes d’agents thérapeutiques.

Inhibiteurs des protéases

Dans cette catégorie de traitement on retrouve les antiprotéases endogènes (α1-antitrypsine, inhibiteur de la leucoprotéase, élafine, inhibiteurs tissulaires des MMP (TIMP)) et exogènes. Déjà dans les années 80 Wewers a montré la faisabilité d’une substitution en α1-antitrypsine avec une correction de l’activité antiélastase sérique et dans le liquide endoluminal mais sans amélioration fonctionnelle après six mois de traitement.21 Récemment Wenker a démontré un ralentissement du déclin fonctionnel chez 96 patients atteints d’un déficit sous perfusion hebdomadaire d’inhibiteur de l’α1-protéase.22 L’efficacité réelle et l’indication des antiprotéases endogènes via des formes recombinantes ou après transfection par des vecteurs viraux doit cependant encore être établie.23,24

Concernant l’emphysème commun plusieurs inhibiteurs de protéases sont en cours de développement, traitements prévus soit par inhalation ou par voie systémique. Trois classes de protéases sont ciblées à savoir les sérine-protéases (ONO-5046, ICI 200355), les cystéine-protéases (inhibiteurs des cathepsines K, L et S) et les métalloprotéinases de la matrice (Batimastat, Marimastat). Concernant ces dernières il est probable que les inhibiteurs non sélectifs seront remplacés par des molécules sélectives pour MMP-9 et MMP-12, avec davantage d’efficacité et moins d’effets secondaires. Ces substances sont pour la plupart au stade d’investigation préclinique ou en phase I.

Anti-oxydants

L’arrêt du tabagisme est le traitement de choix chez les patients tabagiques. Les β2-agonistes, les anticholinergiques et méthylxanthines ont également un effet anti-oxydant modeste par action sur la libération de radicaux libres par les macrophages. L‘activité anti-oxydante de la théophylline in vivo est débattue mais certains auteurs ont démontré l’inhibition, dose dépendante, de la production d’oxydants par les neutrophiles in vitro.6 Le même doute plane sur l’effet des corticostéroïdes topiques.

Le traitement anti-oxydant le plus répandu reste la Nacétylcystéine (NAC) diminuant la production de H2O2 par augmentation du glutathion (GSH). Son action va également diminuer l’activation de NF-κB, la production de mucus et la survenue d’anomalies sur les neutrophiles.6 Rubio en 2003 a montré une diminution de l’activité de l’élastase et des lésions tissulaires chez le rat sous NAC.25 Si ce traitement a pu faire la preuve, dans certaines études, d’une efficacité dans la viscosité des expectorations et les problèmes infectieux (diminution des exacerbations et des cas d’infections virales ou colonisations bactériennes) 26 il a également été associé à un déclin moins marqué du VEMS dans un collectif de BPCO suivi sur une périodes de deux ans.27 Cependant ce bénéfice n’a pas été confirmé par Decramer lors d’une étude randomisée multicentrique sur 523 patients.28

Acide rétinoïque

Un travail publié en 1997 par Massaro a fait sensation en ce sens qu’il montrait pour la première fois la réversibilité d’un emphysème induit expérimentalement chez le rat par l’élastase.29 La substance responsable de cette «réparation» est l’all-trans acide rétinoïque, métabolite du rétinol (vitamine A). Les rétinoïdes agissent par l’intermédiaire de récepteurs cytosoliques spécifiques qui sont entre autres impliqués dans l’embryogenèse, d’où l’effet tératogène bien connu de cette classe de substance. Il est vraisemblable que l’administration d’acide rétinoïque chez ces rats emphysémateux ait réactivé des processus archaïques de morphogenèse tels qu’observés dans la période embryonnaire et fœtale, avec comme conséquence une régénération du tissu détruit. Malheureusement si cet effet a été observé par plusieurs auteurs chez le rat, il n’est déjà plus manifeste chez la souris.30 Un essai pilote, probablement prématuré et de trop courte durée, n’a pas montré d’efficacité du alltrans acide rétinoïque chez l’homme emphysémateux.31 Si on est donc loin d’une application clinique, il est permis d’espérer qu’une manipulation plus fine et plus sélective des récepteurs aux rétinoïdes, avec le cas échéant l’emploi de cellules souches, permette un jour de recréer une partie du parenchyme pulmonaire détruit (figure 6).

Figure 6.

Types de traitements 30

Mode d’administration

La voie topique par inhalation a la faveur du pneumologue dans le traitement de plusieurs affections respiratoires en raison de son rapport efficacité versus effet secondaire particulièrement favorable. Les traitements inhalés administrés dans la BPCO (bronchodilatateurs, stéroïdes) ont pour cibles les bronches de gros et de moyens calibres et s’attaquent donc principalement à la composante bronchiolitique. Il est cependant évident qu’en cas d’emphysème l’agent thérapeutique devra atteindre le lobule secondaire, lieu du processus actif. Cela implique des particules de plus petites tailles (< 5 µm) que celles administrées couramment, et de pallier l’importante inhomogénéité de la distribution de la ventilation caractéristique de l’emphysème. Lorsque l’on considère que la fumée de cigarette atteint justement et «efficacement» ce territoire on peut espérer que des médicaments efficaces pourront suivre le même chemin !

CONCLUSIONS

L’emphysème fait partie intégrante de la bronchopneumopathie chronique obstructive et résulte de l’inflammation particulière, au niveau du lobule secondaire liée à la fumée de tabac ou d’autres substances polluantes inhalées. L’inflammation où prédominent les lymphocytes CD8 et les macrophages, le stress oxydatif et le déséquilibre entre protéases et antiprotéases sont les trois mécanismes physiopathologiques majeurs contre lesquels des possibilités d’interventions thérapeutiques sont à l’étude. Si la lenteur de l’évolution de la maladie rend difficile l’évaluation clinique de ces nouvelles molécules, il est par contre probable qu’une administration ciblée, notamment par voie inhalée, permette d’optimaliser leur fenêtre thérapeutique.

Le sujet de cet article a été proposé par le cercle de qualité de la Broye.

Auteurs

Bernard Egger

Service de pneumologie
CHUV 1011 Lausanne
bernard.egger@chuv.hospvd.ch
alain.sauty@hospvd.ch

John-David Aubert

Faculté de biologie et médecine, Université de Lausanne
1005 Lausanne
john-david.aubert@unil.ch

Le produit a bien été ajouté au panier ! Vous pouvez continuer votre visite ou accéder au panier pour finaliser votre commande.

Voir le Panier

Mot de passe oublié

Veuillez entrer votre adresse email ci-dessous pour recevoir un lien de réinitialisation de mot de passe

Un e-mail a été envoyé à votre adresse email. Suivez les instructions fournies pour réinitialiser votre mot de passe

Aucun compte n'est associé à cette adresse e-mail.

Nouveau mot de passe

Vous pouvez créer votre nouveau mot de passe ici

Votre mot de passe a bien été modifié!

Cliquez ici pour vous connecter

Nous ne sommes pas en mesure de changer votre mot de passe.

Certains de ces cookies sont essentiels, tandis que d'autres nous aident à améliorer votre expérience en vous fournissant des informations sur la manière dont le site est utilisé.

Paramétrer les cookies
  • Les cookies nécessaires activent la fonctionnalité principale. Le site Web ne peut pas fonctionner correctement sans ces cookies et ne peut être désactivé qu'en modifiant les préférences de votre navigateur.

  • Ces cookies permettent d’obtenir des statistiques de fréquentation anonymes du site de la Revue Médicale Suisse afin d’optimiser son ergonomie, sa navigation et ses contenus. En désactivant ces cookies, nous ne pourrons pas analyser le trafic du site de la Revue Médicale Suisse

  • Ces cookies permettent à la Revue Médicale Suisse ou à ses partenaires de vous présenter les publicités les plus pertinentes et les plus adaptées à vos centres d’intérêt en fonction de votre navigation sur le site. En désactivant ces cookies, des publicités sans lien avec vos centres d’intérêt supposés vous seront proposées sur le site.

  • Ces cookies permettent d’interagir depuis le site de la Revue Médicale Suisse avec les modules sociaux et de partager les contenus du site avec d’autres personnes ou de les informer de votre consultation, lorsque vous cliquez sur les fonctionnalités de partage de Facebook et de Twitter, par exemple. En désactivant ces cookies, vous ne pourrez plus partager les articles de la Revue Médicale Suisse depuis le site de la Revue Médicale Suisse sur les réseaux sociaux.